Меню
8 987 654-32-10
Написать нам
Главная Компания Услуги и цены Скидки и акции Контакты Вакансии Отзывы
Ослепительная улыбка
всегда за 1 день!
С пожизненной гарантией на импланты
и работу специалистов
services-image
4 импланта с установкой
от 49 990 ₽
services-image
Несъемный протез
от 59 990 ₽
Импланты и протез
в один день
Лечение во сне
под седацией
Подходит людям
любого возраста
Нариманян Георгий
Главный врач, стоматолог-хирург,
ортопед со стажем работы 25 лет

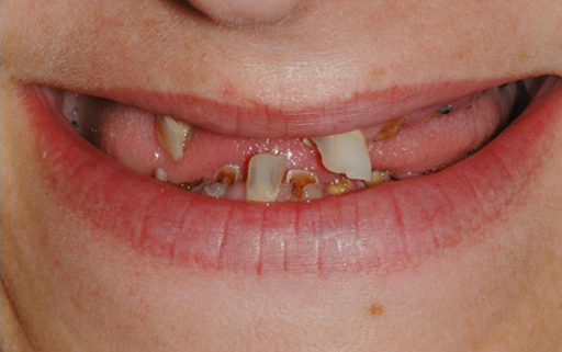
У вас серьезные проблемы с зубами?

card-image
Отсутствуют все или почти все зубы
  • Низкая самооценка
  • Дискомфорт при общении
  • Проблемы с ЖКТ
card-image
Отсутствуют все или почти все зубы
  • Низкая самооценка
  • Дискомфорт при общении
  • Проблемы с ЖКТ
card-image
Отсутствуют все или почти все зубы
  • Низкая самооценка
  • Дискомфорт при общении
  • Проблемы с ЖКТ
card-image
Отсутствуют все или почти все зубы
  • Низкая самооценка
  • Дискомфорт при общении
  • Проблемы с ЖКТ
quote-image
Нариманян Георгий
Главный врач, стоматолог-хирург, ортопед со стажем работы 25 лет
Протезирование по методу
«Все-на-4» в клинике Леонардо — правильное решение проблем
с вашими зубами
Смотреть видео о протезировании по технологии «All-on-4»

Протезирования на 4 имплантах это:

Минимум противопоказаний
Минимум рисков для вас и ограничений на процедуры
Минимум противопоказаний
Минимум рисков для вас и ограничений на процедуры
Минимум противопоказаний
Минимум рисков для вас и ограничений на процедуры
Минимум противопоказаний
Минимум рисков для вас и ограничений на процедуры
Минимум противопоказаний
Минимум рисков для вас и ограничений на процедуры
Минимум противопоказаний
Минимум рисков для вас и ограничений на процедуры
Минимум противопоказаний
Минимум рисков для вас и ограничений на процедуры
Минимум противопоказаний
Минимум рисков для вас и ограничений на процедуры
О нас

SEO-текст для продвижения

Стоматологическая клиника Леонардо в Санкт-Петербурге предлагает профессиональное лечение зубов с использованием современных технологий и передовых методик. Мы специализируемся на терапевтической стоматологии, протезировании, имплантации, эстетической реставрации и профессиональной гигиене. Наши врачи — это опытные специалисты, которые регулярно повышают квалификацию и используют только проверенные материалы премиум-класса.

В Бриллианта установлено новейшее оборудование, включая цифровую рентгенографию и 3D-визуализацию, что позволяет проводить точную диагностику и лечение без боли. Мы предлагаем индивидуальный подход к каждому пациенту, гарантируя комфорт и долгосрочный результат. Удобная онлайн-запись, доступные цены и комфортная атмосфера делают Бриллианта лучшим выбором для всей семьи. Доверьте здоровье своих зубов профессионалам — приходите в Бриллианта и подарите себе красивую улыбку.

Технология «Все-на-4» — революция в стоматологии, покорившая мир

Подходит пациентам любого возраста, даже 80+ лет
Применяем скуловые импланты вместо костной пластики
Разрешена даже при сахарном диабете, остром пародонтите
В 4 раза дешевле одиночной имплантации
и позволяет сэкономить до 300000 ₽ на восстановлении одной челюсти
advantages-list-image

Как происходит протезирование всей челюсти на 4-х имплантах

stages-image
Подготовительный этап
Перед имплантацией делаем панорамный рентген и КТ для планирования, а также общий анализ крови чтобы исключить воспаление.
stages-image
Установка временной конструкции
Акриловый протез служит до трёх лет как временная основа для постоянной конструкции; при длительном ношении требуется профессиональная чистка раз в несколько месяцев.
stages-image
Установка постоянного протеза
После заживления устанавливаем постоянную конструкцию, служащую десятилетиями. Уход простой: дважды в год консультация у имплантолога, периодическая замена винтов и регулярная чистка протеза.

Всего 2 визита решат проблемы с зубами и позволят вам

card-image
Заметно омолодить черты лица

Вы будете выглядеть моложе, снова почувствуете себя привлекательным и здоровым

card-image
Забыть про клей для протезов

Вы больше не будете беспокоиться о том, что протез выпадет во время еды или разговора

card-image
Есть любую, а главное любимую еду

Вы сможете есть абсолютно любые продукты уже на следующий день после операции

card-image
Навсегда отказаться от съемных протезов

Вы будете выглядеть моложе на 7-10 лет и снова почувствуете себя привлекательным

Что входит в стоимость протезирования на 4-х имплантах «под ключ»

card-image
Имплантация по методу «Все-на-4»

Устанавливаем импланты от ведущих производителей без боли и лишних разрезов

card-image
Изготовление и установка протеза

Установим анатомически точный протез, визуально и по ощущениям неотличимый от натуральных зубов

card-image
Работа имплантолога и ортопеда

С вами будут работать наши лучшие специалисты, которые проводят 30+ операций ежемесячно

card-image
Качественные анестезия и материалы

Используем современную корейскую анестезию, которая блокирует болевой синдром

Итого:
от 141 000 ₽
от 129 000 ₽
Точная цена определяется индивидуально в каждом случае. После осмотра и диагностики врач сообщит окончательную сумму и зафиксирует её в договоре.

Чем отличается имплантация по методу «Все-на-4» от обычной?

По обычной технологии

Для установки челюсти нужно поставить не менее 14 имплантов, а значит требуется гораздо больше времени и сил.
Установка большого числа имплантов дороже, сложнее и дольше.
Возможны этапы наращивания кости, приживания каждого импланта и затем протезирования.

По технологии «Все-на-4»

Для установки челюсти нужно поставить не менее 14 имплантов, а значит требуется гораздо больше времени и сил.
Установка большого числа имплантов дороже, сложнее и дольше.
Возможны этапы наращивания кости, приживания каждого импланта и затем протезирования.
О нас

Полноценная улыбка теперь значительно дешевле! Экономьте до 60%

Современное протезирование с опорой на четырёх имплантах обходится значительно дешевле, чем установка по одному минимум 14 имплантов. Выгода касается не только бюджета: нагрузка на организм уменьшается в четыре раза, поскольку число хирургических вмешательств сокращается до четырёх.

Цены на имплантацию по методу «Все-на-4»

prices-item-image

Имплантация «Все-на-4». Neodent

  • Консультация и КТ-снимок бесплатно
  • Возможность установить сразу постоянный протез
  • Скидка 15 000 ₽ при единоразовой оплате
от 141 000 ₽
от 129 900 ₽
Акция до 15 сентября
Что входит в стоимость
prices-item-image

Имплантация «Все-на-4». Neodent

  • Консультация и КТ-снимок бесплатно
  • Возможность установить сразу постоянный протез
  • Скидка 15 000 ₽ при единоразовой оплате
от 141 000 ₽
от 129 900 ₽
Акция до 15 сентября
Что входит в стоимость
prices-item-image

Имплантация «Все-на-4». Neodent

  • Консультация и КТ-снимок бесплатно
  • Возможность установить сразу постоянный протез
  • Скидка 15 000 ₽ при единоразовой оплате
от 141 000 ₽
от 129 900 ₽
Акция до 15 сентября
Что входит в стоимость
Точная цена определяется индивидуально в каждом случае. После осмотра и диагностики врач сообщит окончательную сумму и зафиксирует её в договоре.
О нас

Лечитесь сейчас, платите потом! Рассрочка до 24-х месяцев

Стоимость не изменится ни на рубль, даже если цены на материалы или курс доллара резко возрастут

Записаться на консультацию

Результаты имплантации до и после по методу «Все-на-4»

before-image
before-image
before-image
before-image